
NordBrain
AI-powered Quantitative Neuroimaging and Diagnostics

Our research group, based in Sweden, has expertise in neuroradiology and artificial intelligence. We are passionate in applying a data-driven approach to improve and transform the radiological diagnosis of brain disorders.Our goal is to bring innovations from our neuroradiological research into the daily clinical practice of our fellow neuroradiologists, neurologists and neurosurgeons.

Contact Us
Interested in working together? Fill out some info and we will be in touch shortly. We can’t wait to hear from you!
© NordBrain 2024 All rights reserved.
Stockholm, Sweden
Research tools
Publications
(coming soon!)
1
2
3
4
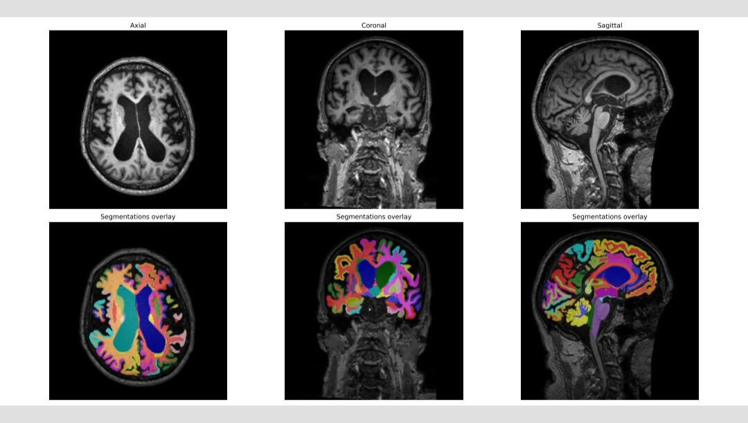
Quantitative Brain Analysis - Dementia Diagnostics
iNPH Diagnostics
Automatic diagnosis of iNPH based on our Deep Learning explainable computer vision model
Automatic diagnosis of iNPH based on our Machine Learning volumetric model
Automatic measurement of Callosal angle (CA), Evans index (EI), 3D EI and cDESH
Get an iNPH probability estimation for your patient based on a few manual inputs(runs even on your mobile!)
Automatic diagnosis of iNPH based on our Deep Learning computer vision model
Automatic diagnosis of iNPH based on our Machine Learning volumetric model
Automatic measurement of Callosal angle (CA), Evans index (EI), 3D EI and cDESH
iNPH Probability Calculator
Diagnosis
White Matter Hyperintensities
quantification
Delta Age
Δ(age) = radiological brain age – biological age"Brain age" is the apparent age of an individual, as inferred from brain imaging data. The difference between brain age and actual age (the "delta") may reflect accelerated aging (positive delta) or resilience (negative delta). It has been found to be a useful correlate with factors such as disease and cognitive decline, in other words to be an independent biomarker of brain disease.











